
Griselunge transplantert til hjernedød mann
For første gang er en lunge fra en genmodifisert gris transplantert til en hjernedød person.
Annonse kun for helsepersonell
Forsøket ble gjennomført av forskere i Kina i fjor vår. Transplantasjonen beskrives i det vitenskapelige tidsskriftet Nature Medicine og omtales av Sveriges Radio.
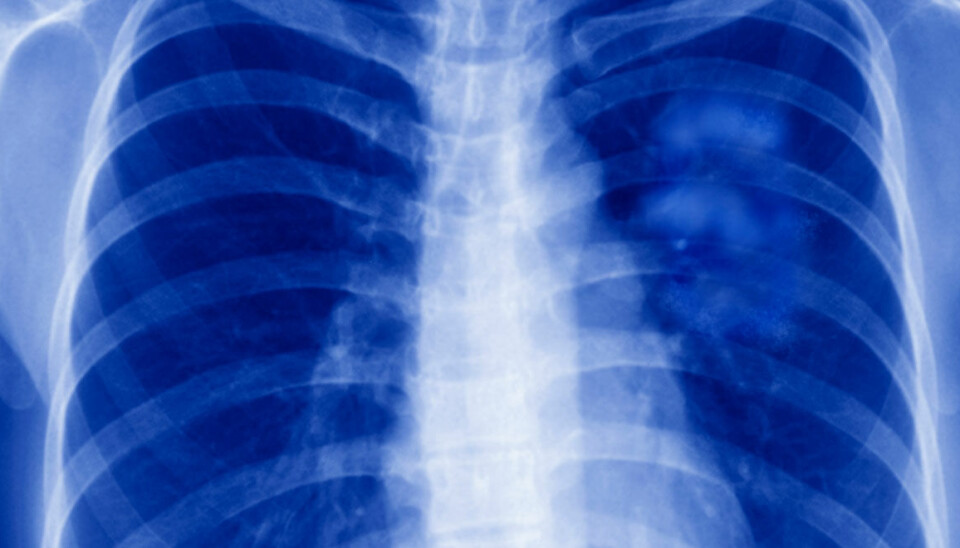
Lungen fungerte i ni dager før studien ble avsluttet. Det oppsto ikke infeksjoner, men lungen viste tegn til væskeansamling og skader allerede etter ett døgn.
Ifølge forskerne gjenstår «betydelige utfordringer» før metoden kan brukes på pasienter.
Griselungen ble transplantert til en 39 år gammel mann i byen Guangzhou. Mannen var erklært hjernedød etter en hjerneblødning, og familien hadde godkjent prosedyren.